Phẫu thuật tuyến thượng thận qua lối sau
Hoàng Văn Tùng
Bệnh viện Trung Ương Huế
Ung thư vỏ thượng thận dần dần trở thành một bệnh lý thường gặp. Phẫu thuật cắt bỏ tuyến thượng thận thường được thực hiện qua lối trước qua phúc mạc hoặc xiên hông kéo dài (lối ngực bụng qua khoảng gian sườn 8). Khi bệnh nhân có vết mổ củ ở phúc mạc, sử dụng lối qua phúc mạc trở nên khó khăn, chúng tôi lựa chọn lối sau và phẫu thuật được thực hiện dễ dàng và thuận lợi cho bệnh nhân.
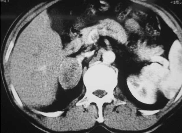
Bệnh nhân Nguyễn Tr. Th.50 tuổi, vào viện vì đau tức hông phải. Tiền sử có cắt u đại tràng phải cách 5 năm và cắt gan trái được 2 năm. Bệnh nhân hoàn toàn khỏe mạnh, CT bụng cho một u ở thượng thận bên phải đường kính đo được 8cm và các xét nghiệm cận lâm sàng khác kể cả cortisol máu, chưa phát hiện thêm thương tổn gì. Bệnh nhân được mổ bóc u thượng thận qua lối sau và chẩn đoán giải phẫu bệnh là ung thư vỏ thượng thận.
Hình 1: Vết mổ cũ
Ung thư vỏ thượng thận là một bệnh ác tính hiếm, thống kê ở Mỹ khoảng 2 ca cho 1 triệu dân trong một năm. Khoảng 50% bệnh với triệu chứng tăng hóc môn steroid vỏ thượng thận , 50% còn lại chỉ có khối u với triệu chứng không đặc hiệu như mất cân, đau bụng, mệt mỏi.
Phẫu thuật cắt bỏ hoàn toàn là biện pháp duy nhất. Bệnh không đáp ứng với tia xạ và hóa chất. Tiên lượng tương đối xấu. Thống kê của bệnh viện Cleveland qua 82 bệnh nhân, tỷ lệ sống sau 3 năm và 5 năm là 37,5% và 25,1%. Nếu bệnh được chẩn đoán sớm và phẫu thuật cắt được hết khối u, tỷ lệ sống sau 3 năm và 5 năm là 55% và 43,9%.
Hình 2: Hình ảnh CT bụng
Hình 3: Xương sườn và khối u được cắt bỏ
Phẫu thuật tuyến thượng thận qua lối sau đặc biệt thuận lợi khi bộc lộ tuyến và tĩnh mạch thượng thận, nhất là ở bên phải.
Phẫu thuật được thực hiện với tư thế bệnh nhân nằm sấp, đường mổ trên xương sườn 11, có thể cả hai bên nếu cần thăm dò bên đối diện, đầu trong vết mổ vượt quá khối cơ cạnh sống. Bộc lộ xương sườn 11 ở bờ trên, cắt cơ gian sườn trên ngón tay để che cấu trúc bên dưới, cắt xương sườn để lại mạc ngoài phế mạc (thường gọi là màng xương) vì có dính với phế mạc và cơ hoành.
Tai biến gặp phải là thủng màng phổi, chúng tôi đóng kín màng phổi không dẫn lưu. Hậu phẫu đơn giản, bệnh nhân xuất viện sau 7 ngày.
Các bài viết khác:
- Túi sa niệu quản
- Sỏi niệu đạo khổng lồ
- Sỏi nhỏ tinh hoàn (Testicular Microlithiasis)
- Sỏi trong bao quy đầu!
- U xơ tiền liệt tuyến “khổng lồ”
- Hội chứng Conn
- Nhân một trường hợp giãn bẩm sinh đoạn cuối niệu quản thành nang (ureterocele)
- Nhân một trường hợp rối loạn tiểu tiện ở trẻ bị tật nứt đốt sống
- Điều trị mất da dương vật và bìu : nhân ba trường hợp













