Hội chứng Conn
BS CK II Nguyễn Đình Vũ
Trưởng khoa Thận nhân tạo, Bệnh viện TW Huế
Sumary:
Aldosteronoma is called by name Conn’s syndrome, is the cause of primary hyperaldosteronism, created secondly hypertention of approximately 0.05 to 2% at the hypertenvise patient.
Conn’s syndrome is a rare condition among hypertensive patient, hypokalemia, hyperaldosteronisme. Other associated symptoms include weakness, muscle cramps, polyuria. Imaging of the aldosterone-producing aldenoma.
A 51-year-old woman presented with uncontrolled hypertention and wekness since 2007. On examination, her blood pressure was 160/110mmHg
Haematological investigation demonstrated that the patient a initial potasium level was low 1.8mmol/l (normal is 3.3 - 5.3mmol/l). she was referred for radiological. CT scan was indicative discoved an adenoma of the left adrenal gland, measuring 3x2 cm. A dignosis of conn’s syndrome was confirmed reliabilly. She was underwent a left laparoscopic adrenalectomy and subsequently her blood pressure was 120/70mmHg, her potasium level was normal.
Conn’s syndrome appropriate 75% among the cause of primary hyperaldosteronis and cordinated long hypertention. It is second cause of hypertention treated by surgery after renal artery stenosis.
Tóm tắt :
Khối u sản sinh aldosteron (aldosteronoma) hay còn gọi là hội chứng Conn có nguyên nhân chính là cường aldosteron tiên phát, gây nên cao huyết áp thứ phát, với tỉ lệ 0,05 đến 2% ở bệnh nhân cao huyết áp.
Bệnh nhân có thể không có triệu chứng lâm sàng hoặc vài triệu chứng thường gặp là cao huyết áp, hạ kali máu, yếu cơ, chuột rút, đa niệu, đôi khi liệt cơ.
Adenoma vỏ thượng thận tăng sinh aldosteron, đặc trưng bởi cao huyết áp, hạ kali máu, bài tiết nhiều kali niệu, và kiềm chuyển hóa. Chúng tôi báo cáo bệnh nhân nữ 45 tuổi, có tiền sử cao huyết áp 2 năm, nhập viện với triệu chứng cao huyết áp, yếu cơ hạ kali máu, CT scan u tuyến thượng thận, đã được chỉ định phẩu thật cắt bỏ adenoma, sau phẩu thuật huyết áp trở lại bình thường và hạ kali máu được cải thiện.
Hội chứng Conn chiếm 75% trong số nguyên nhân tăng aldosteron nguyên phát và kết hợp với tăng huyết áp kéo dài. Nó là nguyên nhân thứ 2 của tăng huyết áp được điều trị bằng phẩu thuật sau hẹp động mạch thận. Chúng tôi báo cáo một trường hợp u tuyến thượng thận một bên được điều trị bằng phẩu thuật.
BỆNH ÁN
Bệnh nhân Nguyễn thị xuân A. nử 45 tuổi, ở tại 16/66 đường Nguyễn Huệ phường Vĩnh Ninh Tp Huế, nghề nghiệp y tá. Ngày vào viện 7/11/2009 tại khoa tim mạch can thiệp Bệnh viện trung ương Huế.
Bệnh nhân vào viện với cảm giác yếu tứ chi và cao huyết áp. Tiều sử biết cao huyết áp cách đây 2 năm có điều trị với thuốc ức chế men chuyển zestrin 10mg x 1 viên/ngày.
Lúc vào viện được ghi nhận huyết áp 150/90mmHg, mạch 84l/phút, bệnh nhân tính táo, cảm giác yếu 2 tay và hai chân, không liệt. Lượng nước tiểu khoảng 1,5 lít/ 24 giờ.
Xét nghiệm cận lâm sàng ghi nhận: Công thức máu Hồng cầu 4,2triệu; Hb 11,2; Hct 36,52%; Bạch cầu 4280; Neutrophie 57,9%; Lymphocyte 37,8%
Sinh hóa từ 7/11 đến 16/11 nồng độ kali máu như sau : 2,7mmol/l; 1,7mmol/l; 1,8mmol/l; 2,5mmol/l; 1,6mmol/l. Nồng độ caci máu 1,95mmol/l; HCO3 27mmol/l; mmol/l; ure 2,7mmol/l; creatinin 60mmol/l; Glucose 6,4mmol/l; cortison máu lúc 8 giờ 195,1mmol/l; Đo nồng độ alosteron và renin máu Bệnh viện TW Huế chưa triển khai.
Điện giải đồ niệu Natri 111 mmol/24 giờ; Kali 55mmol/ 24 giờ ; chỉ số Na/K< 1.
Điện tâm đò nhịp xoang 84/phút, có sóng u
Siêu âm dopper mạch cảnh bình thường; chụp CT scan 64 nhát cắt sọ nảo
Thiếu máu dạng ổ khuyết nhỏ vùng trước của bao ngoài bên P.
CTscan 64 nhát cắt thuyến thượng thận hình ảnh u tuyến thượng thận T kích thước 3x2cm
Hình ảnh CT
Thời gian đầu mới nhập viện bệnh nhân được điều trị hạ huyết áp bằng ức chế men chuyển zestrin 10mg x 1 viên/ ngày và betaloczok 10mg x 1 viên / ngày và bù kali bằng đường uống với kanormin 0,6g x 4 viên/ngày.
Bệnh nhân được chuyển mổ ngày 19/11/2009 cắt bỏ u thượng thận với đường kính 3x2x1,5cm khối u có vỏ bọc màu vàng dể vở.
Sau mổ ngày 19/11/2009 huyết áp đo được 112/70 mmHg, ka li máu 3,8 mmol// và 3,9 mmol/l lần thứ 2.
Điện giải đồ niệu natri 84mmol/24 giờ, kali 32,8 mmol/l chỉ số Na/K >1; bệnh nhân tiểu 1,8 l/ ngày, cảm giác yếu chi được cải thiện.
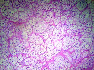
Hình ảnh xốp bào, nhân hỏ lệch tâm, bào tương chứa đầy mỡ
BÀN LUẬN
U vỏ thượng thận( adenome Conn) bài tiết aldosteron là nguyên nhân chính của cường aldosterol nguyên phát, thường chiếm 60% trường hợp. Nó được báo cáo bởi Conn vào năm 1955 với các triệu chứng lâm sàng là cao huyết áp léo dài, giảm kali máu, tiểu nhiều, yếu cơ. U thường dưới 2cm, lành tính, có vỏ bọc bên trong màu vàng. Nó thường gặp ở phụ nử hơn là nam giới, chỉ định phẩu thuật cắt bỏ khối u các triệu chứng lâm sàng và sinh hóa trở lại bình thường.
Tuy nhiên, ngoài u lành tính ( adenoma Conn) gây cường aldosteron còn có nguyên nhân thứ 2 là loạn sản vỏ thượng thận hai bên cũng gây cường aldosteron, loại này thường chiếm tỉ lệ 20 đến 40% đôi khi CT scan có thể thấy bình thường hay phì đại nhiều hay ít ở hai bên tuyến thượng thận, thường có chỉ định điều trị nội khoa. Ngoài ra còn có nguyên nhân khác là carcinoma tuyến thượng thận cũng gây cường aldosteron, loại này rất hiếm gặp, chẩn đoán phân biệt với adenome Conn thường rất dể vì hình ảnh CT scan khối u lớn, thường nó bài tiết ngoài aldosteron còn bài tiết cortison và andogen sinh dục.
Ngoài các triệu chứng lâm sàng cao huyết áp, yếu cơ, đa niệu, hạ kali máu, tăng kali niệu việc chẩn đoán hội chứng Conn còn dựa vào những tiêu chuẩn hormon như tăng aldosteron máu đồng thời với hạ renin huyết tương. Người ta có thể đo nồng độ renin hoặc động bằng phương pháp miển dịch phóng xạ trực tiếp, giá trị renin ở vị trí nằm và đứng là 17,5± 7,5 và 32,5±17,5 mUl/l.
Aldosteron có thể định lượng bằng phương pháp miển dịch phóng xạ ở huyết tương và nước tiểu giá trị aldosteron huyết tương vị trí nằm 185 pg/ml và ngồi 200pg/ml và niệu là 22µg/24 giờ. Thực tế adenoma Conn tự động bài tiết aldosteron, sự bài tiết này không kích thích bởi thay đổi tư thế ( tăng bài tiết aldosteron do sự gia tăng giải phóng renin). Bài tiết aldosteron không bị kìm hảm bởi test dùng muối và captopril (ức chế men chuyển). Ngược lại trong loạn sản vỏ thượng thận sự bài tiết aldosteron được điều hòa bởi hệ thống renin angiotensin và như vậy sự bài tiết aldosteron phụ thuộc vào thay đổi tư thế, test dùng muối và captopril.
Sau khi các xét nghiệm về sinh hóa nghi ngờ hội chứng Conn, người ta phải tiến hành chụp CT scan để khẳng định chẩn đoán xác định cũng như chẩn đoán nguyên nhân.
Bệnh nhân của chúng tôi nghiên cứu adenoma Conn điển hình với tăng huyết áp kéo dài, yếu cơ, hạ kali máu, tăng kali niệu CT scan u bên (T) tuyến thượng thận. Được phẩu thật cắt bỏ khối u, sau phẩu thuật huyết áp và kali máu bình thường các triệu chứng lâm sàng cải thiện rỏ.
KẾT LUẬN
Cường aldosterol có nguyên nhân là do u một bên bài tiết aldosteron, giữ nước, natri và thải kali đưa đến cao huyết áp, chiếm tỉ lệ 0,05 đến 2% gặp ở tất cả các trường hợp cao huyết áp. Thải kali làm hạ kali máu biểu hiện lâm sàng với tình trạng mệt và yếu cơ.
Thông thường thì u lành tính, thường gặp ở phụ nử, điều trị bằng phẩu thuật cắt bỏ sẽ cải thiện các triệu chứng lâm sàng.
TÀI LIỆU THAM KHẢO
1. BLUMENFELD JD., SEALY JE., SCHLUSSEL Y.: Diagnosis and treatment of primary hyperaldosteronism. Ann. Intern. Med., 1994, 121, 877-885.
2. BAUDOIN B., HAMOIR E., DEFECHEREUX TH., MEURISSE M., BECKERS A.: Les hyperaldostéronismes primaires. Mise au point et traitement raisonné. Rev. Franc. Endocrinol. Clin., 1997, 38, 555-567.
3. NG L, LIBERTINO J. Adrenocortical Carcinoma : diagnosis, evaluation and treatment.J Urol 2003, 169 : 5-11.
4. WAJCHENBERG BL, ALBERGARIA PEREIRA MA, MEDONCA BB et al. Adrenocortical carcinoma: clinical and laboratory observations. Cancer. 2000;88(4):711-36.
5. ENGEL J.D., ANGELOS P., REGE RV., JOEH RJ.: Bilateral adrenal cortical adenomas in primary hyperaldosteronism. Urology, 1998, 52, 711-714.
6. DOPPMAN J.L.: The dilemma of bilateral adrenocortical nodularity in Conn’s and Cushing’s syndromes. Rad. Clin. North. Am., 1993, 31, 1039-1050.
7. Williams GH, Dluhy RG. Pathologies de la corticosurrénale. In: Harrison, Principes de médecine interne, 15e éd., Paris : Médecine-Sciences, Flammarion ;2003, p.2084-105.
Các bài viết khác:
- Túi sa niệu quản
- Sỏi niệu đạo khổng lồ
- Sỏi nhỏ tinh hoàn (Testicular Microlithiasis)
- Sỏi trong bao quy đầu!
- U xơ tiền liệt tuyến “khổng lồ”
- Nhân một trường hợp giãn bẩm sinh đoạn cuối niệu quản thành nang (ureterocele)
- Nhân một trường hợp rối loạn tiểu tiện ở trẻ bị tật nứt đốt sống
- Điều trị mất da dương vật và bìu : nhân ba trường hợp













