Nhân một trường hợp rối loạn tiểu tiện ở trẻ bị tật nứt đốt sống

 

BSNT Nguyễn Văn Nghĩa
HD: PGS TS Lê Đình Khánh
Bộ môn Ngoại trường ĐH Y Dược Huế

 

 

 
NEUROGENIC BLADDER IN A CHILDREN WITH SPINA BIFFIDA: A CASE OF REPORT
Urination disorders in children may be caused by many different causes, such as spina bifida or other neural lesions... In this article, we would like to introduce a clinical case of children with urination disorders caused by spina bifida.
Through clinical case, we recommend:
Should have carefully examinations, particularly physical examination , urodynamic test before treatment… 
Clean intermittent catheterization is the method recommended by experts for cases of neurogenic bladder having high risks (infection of the urethra, ureter reflux ...). But in the current conditions in Vietnam, the use of this method is sometimes necessary to consider as highly dependent on living conditions, economics of the patient, understanding parents, the environment ... Mitrofanoff method should also be a method should be considered.
Cystostomy is not good for the cases of neurogenic bladder .
 

 

ĐẶT VẤN ĐỀ
Rối loạn tiểu tiện ở trẻ em có thể do nhiều nguyên nhân khác nhau như do dị tật nứt đốt sống hoặc các thương tổn thần kinh khác…. Trong khuôn khổ bài viết này, chúng tôi mong muốn giới thiệu một trường hợp lâm sàng của trẻ có rối loạn tiểu tiện do nguyên nhân tật nứt đốt sống.
Tật nứt đốt sống là một dị tật của ống thần kinh xảy ra ở thai nhi do một vài đốt xương cột sống không khép kín trên tủy sống làm lộ tủy sống, màng và dịch não tủy dưới dạng một "túi thần kinh" mềm sẫm màu, nổi lên ở trên lưng dọc theo cột sống. Túi này được phủ bởi một lớp màng mỏng nên có thể bị rò rĩ làm thoát dịch não tủy ra ngoài
Người ta không rõ nguyên nhân của tật này. Người mẹ bị thiếu axit fôlic trước và trong thời kì mang thai được cho là nguyên nhân thường gặp.
Ở Việt nam chưa có tỉ lệ thống kê cụ thể,  tỉ lệ khoảng 1 trên từ 250 đến 500 trẻ sơ sinh.
Khi mắc phải dị tật này, trẻ sẽ gặp phải nhiều biến chứng như:
·         Nguy cơ nhiễm trùng: Nếu không được phẫu thuật sớm để đậy kín lại túi thần kinh thì vị trí này sẽ rất dễ nhiễm trùng và trẻ có thể chết vì viêm màng não.
  • Yếu cơ và mất cảm giác: Chân và bàn chân có thể bị liệt và mất cảm giác hoặc có ít cảm giác. Điều này rất nguy hiểm vì một số trẻ đi được nhưng không có cảm giác do đó chân của trẻ có thể bị bỏng hoặc bị thương do mãnh chai vỡ, đinh hoặc dụng cụ chỉnh hình v.v.. mà trẻ không hề biết. Trẻ cũng có thể bị loét do chèn ép ở vùng cùng cụt, vùng mông, hông do mất cảm giác.
  • Trật khớp háng: Một hoặc cả hai khớp háng có thể bị trật khớp.
  • Co cơ: co cơ chân và bàn chân xảy ra nếu tật nứt đốt sống xảy ra từ vị trí đốt thắt lưng 1 trở lên.
  • Bàn chân: bàn chân có thể bị khoèo (bị cong và gập vào trong) hoặc bẻ lên trên và hướng ra ngoài
  • Khó kiểm soát việc đại tiểu tiện: Trẻ có thể không biết mình tiểu tiện hay đại tiện. Khi trẻ lớn lên có thể trẻ cũng sẽ không phát triển được khả năng kiểm soát các chức năng này. Cần lưu ý là ở một số trẻ mắc tật này nước tiểu có thể ứ lại lâu trong bàng quang tạo điều kiện thuận lợi sự phát triển của vi khuẩn gây ra nhiễm trùng thận, bàng quang. Đây cũng là một nguyên nhân phổ biến gây tử vong ở trẻ mắc loại dị tật này.
  • Não úng thủy: Đầu trẻ bị to ra do tích nước ở trong não, trung bình trong khoảng 5 trẻ bị tật nứt gai đốt sống sẽ có 4 trẻ bị não úng thủy. Hiện tượng này xảy ra do dịch được tạo thành trong não không được đưa xuống tủy sống sẽ tích tụ lại làm tăng áp lực lên não và hộp sọ. Mặc dù lúc mới sinh trẻ có kích thước đầu bình thường nhưng dần dần đầu do tích nước đầu sẽ to ra, nỗi rõ các tĩnh mạch, mắt lồi và đồng tử hướng xuống dưới.
  • Tổn thương não: Nếu không phẫu thuật sớm để làm giảm áp lực ở não, một số trẻ sẽ bị mù, chậm trí, động kinh hoặc bại não. Đôi khi phẫu thuật cũng không giúp tránh được các biến chứng này.
·         Dị ứng chất latex (nhựa cao su): Trẻ bị nứt đốt sống thường dị ứng với chất latex. Nhiều vật liệu có chứa latex như bong bóng, bao cao su, đồ chơi, sơn v.v... Khi tiếp xúc với các vật liệu có latex, trẻ xuất hiện các triệu chứng dị ứng như nổi mẫn đỏ, cảm giác ngứa hoặc bị phồng rộp tại những vùng tiếp xúc. Trong trường hợp nặng hơn trẻ có thể biểu hiện dị ứng toàn thân như phù và ngứa toàn thân, chảy mũi nước, khó thở v.v...
 Khi trẻ sơ sinh bị tật nứt đốt sống với một "túi thần kinh" phía trên cột sống. Trẻ sẽ có nhiều cơ hội sống hơn nếu được mổ sớm trong vòng 48 giờ sau khi sinh. Trong cuộc mổ đầu tiên này, bác sĩ sẽ đẩy các dây thần kinh vào trong ống tủy, đóng lổ hở nhằm tránh nhiễm trùng và bảo vệ cột sống.
Tuy nhiên, việc điều trị vẫn chưa kết thúc sau ca mổ đầu tiên. Với các trẻ bị thoát vị tủy, các tổn thương thần kinh không thể hồi phục vì vậy cần được tiếp tục tư vấn và chăm sóc từ các bác sĩ thuộc các chuyên khoa khác nhau như bác sĩ vật lý trị liệu, bác sĩ chuyên khoa thần kinh, tiết niệu, tiêu hóa v.v...do các vấn đề liên quan đến chức năng vận động và các hoạt động của ruột và bàng quang.
GIỚI THIỆU BỆNH ÁN
Bệnh nhân nhi, nữ,7 tuổi ở Nhan Biều- Triệu Thượng- Triệu Phong- Quảng Trị vào viện vì phát hiện tình cờ trong đợt khám sức khỏe từ thiện của đoàn CI, trẻ được đoàn chẩn đoán bệnh lý bàng quang thần kinh và được giới thiệu đến Bệnh Viện trường Đại Học Y- Dược Huế theo dõi và điều trị.
Tiền sử thai kỳ không có gì đặc biệt, trẻ được sinh thường qua đường âm đạo vào ngày 21/9/2003 tại Bệnh Viện Đa Khoa Huyện Triệu Phong- Tỉnh Quãng Trị, trẻ sinh non 35 tuần, cân nặng lúc sinh 2100g và khóc to sau sinh.
Vừa sinh ra, trẻ được các y bác sĩ chẩn đoán : Thoát vị màng não tủy và ngay lập tức trẻ được chuyển tuyến trên để khám và điều trị. Tại đây, trẻ được theo dõi sau và được phẫu thuật đóng thoát vị màng não tủy kèm cắt u mỡ. Trẻ được xuất viện 10 ngày sau phẫu thuật và hẹn tái khám 6 tháng/lần.
Khi lên 4 tuổi thì người nhà phát hiện trẻ có biểu hiện tiểu không tự chủ, tiểu rắc, tiểu khó xen kẽ với những đợt sốt nhẹ, tiểu đục kèm theo chân trái to, chân phải nhỏ. Vì thế trẻ được người nhà đưa đi khám và được chẩn đoán: bệnh lý bàng quang thần kinh, nhiễm trùng niệu. Trẻ được phẫu thuật Mitrofanoff  tuy nhiên sau đó thất bại, nên trẻ được đặt dẫn lưu bàng quang trên xương mu.
Về nhà, trẻ được đặt sonde foley 2 nhánh, kẹp sonde ngắt quãng 3h/lần sẽ mở kẹp cho nước tiểu chảy qua sonde, thay sonde 10 ngày/lần hoặc những lúc tắc sonde, hẹn tái khám định kỳ 6 tháng/lần . Trẻ vẫn tự đi học bình thường nhưng có bất tiện phải mang sonde tiểu bên người mọi lúc mọi nơi.
 Trước nhập viện khoảng 1 tháng, trẻ đi khám và được rút thông dẫn lưu bàng quang, đồng thời hướng dẫn cho mẹ đặt thông tiểu cách quãng.
Trẻ được khám, tư vấn và tiếp tục nhập viện để điều trị tiếp. Tại Bệnh Viện Trường Đại Học Y- Dược Huế trẻ được thăm khám và phát hiện:
  • Bàn chân trái bất thường do liệt khối cơ mác chân trái
  • Vùng cùng cụt có khối gồ ngay vị trí phẫu thuật thoát vị màng não trước đây. Kích thước khối khoảng bằng quả cam, mềm, không di động.
  • Tiểu không tự chủ. Trẻ có thể đi tiểu được nếu chủ động, tuy nhiên nước tiểu vẫn chảy không tự chủ khi bàng quang đầy.
  • Đại tiện không có rối loạn.
  • Sẹo xấu vùng hạ vị do lần phẫu thuật trước. Lỗ dò bàng quang qua vị trí dẫn lưu bàng quang trước đây. Nước tiểu tràn liên tục gây khó chịu cho bệnh nhân.
  • Các xét nghiệm lâm sàng cho thấy:
            *Công thức máu, chức năng đông máu, ure, creatin, đường niệu,protid máu, ECG, siêu âm tim, X-Quang tim phổi thẳng đều trong giới hạn bình thường.
            *leucocyte niệu 25/µl.
            *Cấy nước tiểu: nước tiểu cặn lắng vừa, pH = 6; vật kính 40 thấy : bạch cầu (++), hồng cầu (++). Nhuộm Gram không thấy vi khuẩn, cấy vi khuẩn không mọc.
           *Siêu âm bụng: thành bàng quang dày không đều 5-8mm, có đường dò nước tiểu ra da # 15mm.
           * UIV: chức năng thận còn tốt, không có tắc nghẽn đường bài niệu, bàng quang không teo nhỏ.           
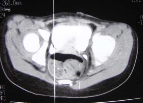
           *CT scanner:
 
 
                                                                Hình ảnh CT cho thấy thương tổn đốt sống
 
 
 
                                                                             Sẹo xấu vùng hạ vị
 
- Cột sống từ L4 trở xuống cùng cụt hở gai sau kèm theo khiếm khuyết mảnh bên (P) nhiều hơn bên (T).
- Khối phì đại mô với tỷ trọng mỡ trong khoang ngoài màng cứng ống sống đoạn hở gai ( từ bờ dưới L3) phát triển liên tục với mô dưới da vùng cùng cụt.
- Nón tủy vị trí thấp tương ứng L3-L4. Dây tận cùng dày và ngắn, dính ra sau với khối mỡ qua chổ hở gai của S1.
- Thận 2 bên: kích thước, cấu trúc và ngấm thuốc bình thường, niệu quản 2 bên không giãn.
- Bàng quang thành dày lan tỏa, chưa thấy hình ảnh giả túi thừa ( dò qua đường dẫn lưu bàng quang trước đây).
* Kiểm tra bàng quang cho thấy áp lực bàng quang không cao, dung tích bàng quang bình thường, thể tích cặn bàng quang #100ml.
 
        

                                                                                UIV: Trào ngược bàng quang niệu quản P

 tại đây trẻ được chẩn đoán : Dò bàng quang ra da, Tiểu không tự chủ, liệt khối cơ mác chân trái.

Trẻ được phẫu thuật đóng lỗ dò bàng quang, chuyển gân cơ chày trước bán phần ra ngoài.
 
Sau phẫu thuật nước tiểu đã không còn dò ra da, trẻ đang được tập tự tiểu tiện theo giờ lúc đi học, đồng thời có sự hỗ trợ của mẹ trẻ thông tiểu cách quãng 4 giờ/lần lúc ở nhà. Trẻ đang được sử dụng oxybutynin 2mg/ngày .
 
 
BÀN LUẬN:
   Tật nứt đốt sống là một dị tật bẩm sinh của đốt sống. Khi đứa trẻ đã tới ngày ra đời mà đốt sống vẫn chưa hình thành được hoàn hảo, còn bị hở phía sau khiến cho các cấu trúc thần kinh của tủy sống có thể lọt ra ngoài được. Hiện tượng này thường xảy ra ở đoạn cuối thắt lưng, vùng thắt lưng và xương cùng, ít khi ở đoạn lưng trên hoặc vùng cổ.
   Ðây là một dị tật rất nặng, có các hậu quả nghiêm trọng. Hiện nay, người ta chẩn đoán trước được dị tật này ở thai nhi bằng phương pháp siêu âm, ngay từ tuần lễ thứ 16 tới 20 của thời gian sản phụ mang thai.
    Một trong những vấn đề quan trọng đối với những bệnh nhân này là theo dõi và điều trị tình trạng rối loạn tiểu tiện. Mục đích của việc điều trị là dự phòng thương tổn thận bằng giữ áp lực bàng quang thấp, tạo sự đi tiểu chủ động và dự phòng nhiễm khuẩn niệu.
Trên cơ sở như vậy, để đạt được các mục tiêu trên, các bác sĩ đã chọn lựa phẫu thuật Mitrofanoff.
    Vậy việc tạo ống dẫn tiểu từ bàng quang ra da để dẫn lưu tự thông tiểu như nguyên tắc kỹ thuật Mitrofanoff sẽ giúp bệnh nhân tự săn sóc, tự phục vụ mình dễ hòa nhập với cuộc sống.
   Phương pháp này được chỉ định ở bệnh nhân bị bàng quang thần kinh, không thể điều trị để tiểu tiện được bình thường và đã có biến chứng nhiễm trùng nước tiểu, trào ngược bàng quang‐ niệu quản…
Năm 1980, Mitrofanoff (6) mô tả việc sử dụng ruột thừa để chuyển lưu nước tiểu có kiềm chế từ bàng quang ra da trên bệnh nhi bị bàng quang thần kinh. Tác giả cắt gốc ruột thừa ở đáy manh tràng và bảo tồn mạc treo ruột thừa, sau đó nối một đầu ruột thừa với bàng quang, đầu kia mở ra da tạo miệng chuyển lưu nước tiểu (hình 9a & 9b).
     
 
(Nguồn:  Benson & Olson (1) và Hinman(3))
Chống trào ngược nước tiểu khi cắm ống ruột thừa bào bàng quang được thực hiện bằng kỹ thuật luồn dưới niêm mạc. Kỹ thuật tương đối đơn giản nhưng hiệu quả này đã được nhiều tác giả chấp nhận và áp dụng ngày càng phổ biến.              
 
                   
(Nguồn : Hinman(3))
- Một số tác giả thực hiện một cải biên đáng chú ý là lấy thêm một mảnh manh tràng rồi cuốn lại để tăng chiều dài ống ruột thừa (hình 10a và 10b). Sự cải biên này là cần thiết trong trường hợp ruột thừa quá ngắn không đủ để thực hiện kỹ thuật luồn dưới niêm mạc hoặc bệnh nhân quá mập nên ống chuyển lưu mở ra da bị quá căng .                         
- cắt thêm 1 mảnh manh tràng rồi cuốn ống, hoặc dùng stappler làm tăng chiều dài ruột thừa. (Nguồn:Benson & Olson(1) Woodhouse(10))
 
Đối với bệnh nhi, chúng tôi nhận thấy việc chẩn đoán và xử trí tật nứt đốt sống là hợp lý.
Liên quan đến vấn đề rối loạn tiểu tiện chúng tôi nhận thấy rằng, do vào thời điểm chọn lựa phương pháp điều trị việc thăm khám niệu động học là khó khăn, cho nên căn cứ vào các dấu hiệu lâm sàng và các nguy cơ đe dọa đến tính mạng, các bác sĩ đã lựa chọn phương pháp Mitrofanoff để tạo sự đi tiểu chủ động bằng thông tiểu.
Trên thế giới, nhiều chuyên gia khuyến cáo đối với những trường hợp trẻ có tình trạng tiểu không tự chủ đặc biệt với nhóm có nguy cơ cao ( áp lực bàng quang tăng, nhiễm trùng niệu, trào ngược bàng quang niệu quản, dãn đài bể thận, suy thận…) thì thông tiểu cách quãng nên thực hiện sớm. Tuy nhiên trong thực tế ở Việt nam, việc thực hiện thông tiểu cách quãng thực sự không phải là đơn giản đối với trẻ do trình độ của bố mẹ, điều kiện sinh hoạt của gia đình, điều kiện làm việc của bố mẹ, môi trưỡng xã hội… cho nên theo chúng tôi việc các bác sĩ đã chọn phương pháp thay thế thông tiểu cách quãng bằng đường niệu đạo là hợp lý.
Tuy nhiên khi phương pháp phẫu thuật thất bại, chúng tôi cho rằng việc dẫn lưu bàng quang đối với trẻ chưa phải là chọn lựa tốt do sẽ có nguy cơ làm cho bàng quang bé lại, khó có thể tạo cho trẻ được một cuộc sống tương đối bình thường…
Đối với trẻ này khi thăm khám chúng tôi nhận thấy trẻ vẫn có thể tự tiểu được nếu chú ý đến, bố mẹ có sự hiểu biết và có thể thao tác đặt thông tiểu cách quãng, các thông số ở bàng quang vẫn có thể chấp nhận được do vậy chúng tôi cho rằng xử trí ở cháu này nên là:
  • Đóng dò bàng quang
  • Hướng dẫn cho trẻ đi tiểu theo giờ khoảng 3-4 giờ/lần) khi đi học
  • Hướng dẫn cho bố mẹ đặt thông tiểu cách quang trong thời gian ở nhà 3-4 giờ lần
  • Kiểm tra định kỳ siêu âm thận, các thông số nước tiểu…( 3-6 tháng/lần)
  • Trong trường hợp cháu có biểu hiện sốt, hoặc biểu hiện của nhiễm trùng đường tiểu ( tiểu buốt rát…) thì cần cấy nước tiểu và điều trị bằng kháng sinh.
  • Đo niệu động học 1 lần/năm
  • Trẻ đang được sử dụng oxybutynin 2mg/ngày nhằm mục đích giữ cho bàng quang có độ kéo dãn lớn.
  • Trẻ đang tiếp tục được kiểm tra định kỳ
Kết luận :
Qua trường hợp lâm sàng, chúng tôi nhận thấy :
  • Cần có những thăm khám cụ thể, đặc biệt là mức độ rối loạn tiểu tiện, các thông số niệu động học ở những trẻ có rối loạn tiểu tiện trước khi đặt ra phương pháp điều trị
  • Đặt thông tiểu cách quãng là phương pháp được các chuyên gia khuyến cáo sử dụng cho các trường hợp bàng quang thần kinh có nguy cơ cao ( nhiễm trùng niệu, trào ngược bàng quang niệu quản…). Tuy nhiên trong điều kiện hiện nay ở Việt nam, việc sử dụng phương pháp này đôi khi cần phải cân nhắc vì phụ thuộc lớn vào điều kiện sống, kinh tế của bệnh nhân, sự hiểu biết của bố mẹ, môi trường sống…cho nên phương pháp Mitrofanoff cũng là một phương pháp cần được xem xét.
  • Dẫn lưu bàng quang không phải là chỉ định tốt cho các trường hợp bàng quang thần kinh
 
TÀI LIỆU THAM KHẢO
1.        Benson MC , Olsson CA – Continent Urinary Diversion. Urol Clin North Am (1999); vol 26 (1): 125-147.
2.        Cain MP, Casale AJ, King SJ, Rink RC - Appendicovesicostomy and newer alternatives for the Mitrofanoff procedure: results in the last 100 patients at Riley Children's Hospital. J Urol. (1999) Nov;162(5):1749-52.
3.        Hinman F (Jr) – Appendicovesicostomy, in “Atlas of Urologic Surgery” (1998), edited by  F. Hinman Jr., WB Saunders  publication, 2nd edition, section 16: 708-714.
4.        Gerharz EW, Kohl UN, Melekos MD, Bonfig R, Weingartner K, Riedmiller H - Ten years' experience with the submucosally embedded in situ appendix in continent cutaneous diversion. Eur Urol. (2001) Dec;40(6):625-31.
5.        Kochakarn W, Muangman V -Mitrofanoff procedure incombination with entero- cystoplasty for detrusor hyperreflexia with external sphincter dyssynergia: one-year experience of 12 cases. J Med Assoc Thai. (2001) Jul;84(7):1046-50. (abstract)
6.        Mitrofanoff P – Cystostomie continente trans-appendiculaire dans le traitement des vessies neurologiques. Chir Pediatr (1980) ; 21 : 297-305.
7.        Restrepo NC, Decter RM, Phillips PP et al – Appendiceal Granulation Polyps - A Complication of Mitrofanoff Procedure. Urology (1994); 43 (2): 219-221. (abstract)
8.        Sumfest JM, Burns MW, Mitchell ME – The Mitrofanoff Principle in Urinary Reconstruction. J Urol (1993) 150 begin_of_the_skype_highlighting              (1993) 150      end_of_the_skype_highlighting: 1875-1878.
9.        Sylora JA, Gonzalez R, Vaughn M, Reinberg Y. Intermittent self-catheterization by quadriplegic patients via a catheterizable Mitrofanoff channel. J Urol. (1997) Jan; 157(1):48-50.
10.     Woodhouse CR, MacMeily AE – The Mitrofanoff Principle: Expanding Upon a Versatile Technique. Br J Urol (1994); 74: 447-453.(abstract)
 
 
 

 

 

Nguồn: Hội Tiết niệu - Thận học Thừa Thiên Huế
Các bài viết khác: