Jane Belfield
Ung thư bàng quang là một trong những bệnh lý ác tính phổ biến nhất của hệ tiết niệu, chiếm khoảng 6% trong tổng số ung thư ở nam và 2% trong tổng số ung thư ở nữ. Nguy cơ mắc bệnh tăng dần theo độ tuổi với 70% bệnh nhân được ghi nhận trên 65 tuổi. Nam giới có nguy cơ mắc ung thư biểu mô bàng quang cao hơn nữ giới gấp 3-4 lần và có tỷ lệ tái phát cao.
90% trường hợp ung thư biểu mô bàng quang là ung thư biểu mô tế bào chuyển tiếp ( transitional cell carcinoma). Các dạng khác của ung thư biểu mô bàng quang bao gồm: ung thư biểu mô tế bào vảy, ung thư dạng sarocoma, ung thư biểu mô giống u lympho. Ung thư biểu mô tuyến hiếm gặp và có liên quan sự tồn tại ống niệu rốn và u ống niệu rốn.
80-85% trường hợp các khối u biểu mô không xâm lấn cơ, được giới hạn ở lớp niêm mạc hoặc dưới niêm mạc và thường có tiên lượng tốt. 20-25% trường hợp u biểu mô ác tính xâm lấn cơ, và gần như tất cả trường hợp ung thư biểu mô vảy (squamous) và tuyến (adenocarcinoma) đều đã ở giai đoạn xâm lấn tại thời điểm chẩn đoán. 33% bệnh nhân đến khám phát hiện u bàng quang đa ổ, có tỉ lệ xâm lấn cao và có xu hướng tái phát.
Một số yếu tố nguy cơ bao gồm di truyền, hút thuốc, bệnh nghề nghiệp, phơi nhiễm phóng xạ ion và tiền sử nhiễm sán máng.
80% bệnh nhân có triệu chứng đái máu, không đau khi tiểu, nhưng cũng có thể biểu hiện các triệu chứng kích thích kèm theo như đái buốt, đái rắt, đái vội.
Siêu âm
Siêu âm có thể phát hiện u bàng quang nguyên phát nhưng không thể nhìn rõ các khối u phẳng, có kích thước bé. Nếu bàng quang ít nước tiểu tại thời điểm siêu âm, các khối u có thể bị bỏ sót vì thành bàng quang có thể trông dày hơn. Vai trò chính của siêu âm là để loại trừ trường hợp thận ứ nước, hay một nguyên nhân nào đó ở thận gây tiểu máu.
Thận ứ nước là một yếu tố tiên lượng độc lập cho ung thư bàng quang giai đoạn tiến triển và cho những bệnh nhân thận ứ nước có hiểu hiện lâm sàng xấu hơn [2]. Điều này cũng được cho là dự đoán trước cho tình trạng xâm lấn ngoài bàng quang và di căn hạch.
Chụp cắt lớp vi tính
Độ chính xác của CT-Scan trong phân giai đoạn ung thư bàng quang chỉ đạt 40-60%, nhưng lại có độ nhạy cao và độ đặc hiệu trên 90% khi dùng để chẩn đoán ung thư bàng quang ở bệnh nhân có tiểu máu. CT-Scan thường được chỉ định để đánh giá đường tiết niệu trên vì có thể tồn tại các khối u đồng thời ở 2.5% bệnh nhân ung thư bàng quang, và người ta cũng thấy có khoảng 1.8-6% trường hợp có ung thư biểu mô chuyển tiếp đường tiết niệu trên sau khi cắt bàng quang.
Những hình ảnh đạt chuẩn là những hình ảnh cho phép đánh giá đầy đủ hệ thống tiết niệu, bao gồm hình ảnh dày lên, khiếm khuyết hoặc bất thường của niệu mạc. Cũng như siêu âm, CT-Scan không thể đánh giá được u bàng quang nhỏ, dạng u trên bề mặt, nhất là khi bàng quang không đủ căng. Các khối u ở đáy bàng quang cũng có thể khó được phát hiện, nhất là ở bệnh nhân kèm tuyến tiền liệt lớn.
CT-Scan cũng cho phép đánh giá di căn hạch hoặc các tạng, đánh giá niệu quản đoạn xa và xác định các bất thường giải phẫu, như thận - niệu quản đôi và chèn ép niệu quản, đây là những điều cần được xác định trước khi phẫu thuật bàng quang.
CT-Scan là phương tiện hình ảnh chính để theo dõi bệnh và nên kết hợp với đánh giá nhằm phát hiện ung thư biểu mô chuyển tiếp đường tiết niệu trên. Hiện nay chưa có sự đồng thuận nào về tần suất hoặc thời gian theo dõi CT-Scan ở bệnh nhân ung thư bàng quang.
Chụp cộng hưởng từ (MRI)
Độ chính xác của MRI đối với phân giai đoạn của khối u nguyên phát được ghi nhận là 73-96% với giá trị trung bình là 85%. Các giá trị độ chính xác trong phân giai đoạn cao hơn CT 10-33% và MRI được xem là vượt trội hơn CT do độ phân giải tương phản mô mềm cao và khả năng chụp ảnh đa cực [4]. MRI vượt trội hơn CT trong việc chứng minh sự xâm lấn thành bàng quang và có thể phân biệt giai đoạn T2a và T2b.
Những tiến bộ trong MRI hiện nay cho phép thực hiện hình ảnh đa tham số, bao gồm sự kết hợp của các trình tự giải phẫu và chức năng, và có khả năng cải thiện hơn nữa độ chính xác khi phân giai đoạn [5]. Độ chính xác của MRI tăng cường tương phản động (DCE) trong việc xác định giai đoạn khối u bàng quang được ghi nhận là 52-93%, và khi được sử dụng kết hợp với cộng hưởng từ khuếch tán (DWI) và chuỗi T2, độ chính xác đã được ghi nhận là 92%.
MRI đa thông số sử dụng sự kết hợp của hình ảnh T1 và T2 cũng như các chuỗi tăng cường độ tương phản động (DCE) và cộng hưởng từ khuếch tán (DWI). Độ phân giải không gian cao đạt được bằng cách sử dụng coil bề mặt, các lát mỏng (<3mm) và kích thước ma trận ảnh lớn. Các chuỗi được thu thập trong các bình diện khác nhau và được đánh giá độc lập và kết hợp với nhau.
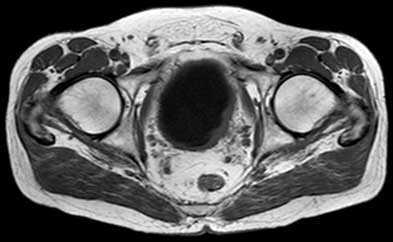
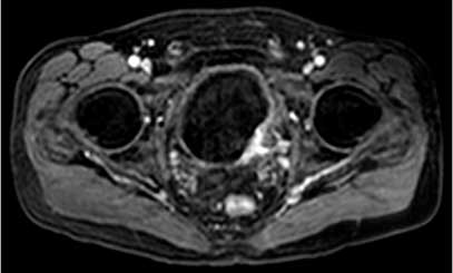
Hình 1. Hình ảnh MRI xung T1 cho thấy khối u bàng quang bên trái có tín hiệu trung gian so với tín hiệu thấp của nước tiểu trong bàng quang. Có lớp mỡ liền kề với khối u, phù hợp với giai đoạn bệnh T3b sớm.
Các chuỗi xung T1 rất hữu ích để xác định khối u nguyên phát, vì nó có thể được nhìn thấy dựa trên nước tiểu sẫm màu trong bàng quang (Hình 1). Câc chuỗi xung T1 có giá trị để đánh giá thâm nhiễm mỡ quanh bàng quang vì mỡ lân cận bàng quang có tín hiệu cao. Câc chuỗi xung T1 cũng hữu ích để đánh giá hạch hoặc di căn xương.
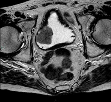
Hình 2. Hình ảnh MRI xung T2 cắt ngang cho thấy một khối u bên phải,đồng thời cho thấy u chưa lan ra ngoài bàng quang.
Hình ảnh T2 nên được thu thập hoặc tái tạo trong ba mặt phẳng. Hình ảnh T2 cho phép đánh giá khối u nguyên phát và thành bàng quang (Hình 2) và vượt trội hơn so với hình ảnh T1 trong việc đánh giá sự xâm lấn vào các cơ quan lân cận như tuyến tiền liệt hoặc tử cung. Cũng như phim cắt ngang (axial), một khối u bàng quang ở thành bên hoặc ở vòm được đánh giá tốt nhất trên phim cắt đứng ngang (coronal) và một khối u phía trước ở mặt phẳng đứng dọc (sagittal).
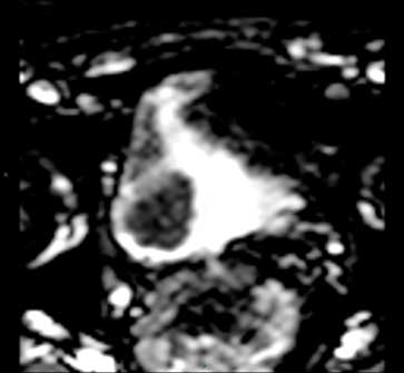
Hình 3a. Hình ảnh DWI trên cùng một bệnh nhân như Hình 2 cho thấy khối u có tín hiệu cao.
Hình 3b. Hình bản đồ ADC cho thấy sự khuếch tán hạn chế trong khối u
Hình ảnh cộng hưởng từ khuếch tán dựa vào tính chất khuếch tán của proton trong nước. Hình ảnh khuếch tán thu được khi sử dụng nhiều giá trị B (multiple B-value), khối u sẽ có tín hiệu cao trong hình ảnh nhiều giá trị B và thể hiện tín hiệu kém khi phản hồi qua bản đồ giá trị hệ số khuếch tán biểu kiến (ADC) (hình 3a và 3b). Bản đồ ADC phản ánh sự di chuyển của các phân tử nước và có mặt của sự tưới máu và khuếch tán mao dẫn. Những hình ảnh này sẽ được đánh giá khi kết hợp với hình ảnh T2 với cùng một mức độ.
Hình ảnh T1 có thuốc tương phản động cho phép đánh giá dòng chảy của máu trong khối u vì khối u chiếm nhiều độ tương phản hơn phần còn lại của thành bàng quang. Thành bàng quang bình thường không rõ trên hình ảnh có thuốc tương phản giai đoạn rất sớm so với khối u do có sự tăng sinh mạch. Một số nghiên cứu phân tích hình ảnh có thuốc tương phản và khối u đã chỉ ra rằng sự bắt thuốc sớm hơn 4 giây so với các mô viêm khi sinh thiết hoặc khi mổ.[6]
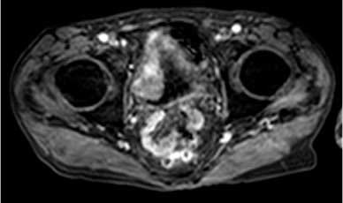
Hình 4. Hình ảnh có thuốc tương phản giai đoạn sớm ở cùng bệnh nhân như hình 2 và Hình 3 thể hiện sự bắt thuốc mạnh của nửa trong của thành bàng quang
Khi khối u có sự bắt thuốc, cần đánh giá kỹ để xem xét liệu đây là độ dày tất cả hay ít hơn một nửa độ dày của thành bàng quang để cung cấp giai đoạn về phương diện X quang (Hình 4). Niệu quản xa có thể thấy sự bắt thuốc nếu như khối gần với lỗ niệu quản (Hình 5).
Hình 5. Hình ảnh độ có thuốc tương phản của cùng bệnh nhân như hình 1 thể hiện sự bắt thuốc ở toàn bộ thành của bàng quang và của lỗ niệu quản xa bên trái.
CT và MRI không thể chẩn đoán được bệnh giai đoạn T3a, nhưng nó có thể phát hiện được bệnh giai đoạn T3b nếu như khối u được nhìn thấy xâm lấn ra bên ngoài thành bàng quang. Cần đánh giá lớp mỡ cạnh để tìm kiếm các dãi mỡ và bệnh lý ngoài bàng quang. Nếu như hình ảnh được thực hiện sau phẫu thuật, thì có thể có hình ảnh dãi mỡ, do tình trạng viêm và phù nề, vì thế việc điều trị nên hết sức cẩn thận và đánh giá kĩ hình ảnh sau tương phản.
Vùng chậu và cùng bụng nên được đánh giá để xem xét có sự xuất hiện của hạch. Việc thực hiện ở mặt phẳng đứng ngang (coronal) sẽ có ích vì hạch vùng chậu thường phân bố ở mặt phẳng này và dễ dàng nhận thấy hơn (Hình 6).
Hình 6. Hình ảnh T2 phim đứng ngang (coronal) thể hiện những hạch chậu phải gần kề những mạch máu vùng chậu.
Niệu quản nên được đánh giá nếu có thể tuy nhiên thường bị xẹp vì vậy việc đánh giá thường khó khăn. CTU nhạy cảm hơn để loại trừ khối u ở đường niệu trên, do vậy nên được kết hợp với MRI.
Các chuỗi MRI nên bao gồm cả hình ảnh của tầng trên ổ bụng trên để kiểm tra tình trạng thận ứ nước, tình trạng di căn và hạch ở vùng này.
Kết luận
MRI là hữu hiệu nhất cho phân giai đoạn tại chỗ của u bàng quang. CT được sử dụng cho giai đoạn xa, đánh giá đường tiết niệu trên và theo dõi bệnh nhân u bàng quang trước đó.
References
1. Verma S, Rajesh A, Prasad SR, et al. Urinary bladder cancer: Role of MR Imaging. Radiographics 2012;32:371-87.
2. Luo HL, Kang CH, Chen YT, et al. Severity of hydronephrosis correlates with tumour invasiveness and urinary bladder recurrence of ureteric cancer. BJU Int 2013;112:489-94.
3. Caterina M, Giunta S, Finocchi V, et al. Primary cancer of the urinary bladder: CT evaluation of the T parameter with different techniques. Abdom Imaging 2001;26(4):433-8.
4. Tekes A, Kamel I, Imam K, et al. Dynamic MRI of bladder cancer: evaluation of staging accuracy. AJR 2005;184:121-7.
5. De Hass, RJ, Steyvers MJ, Futterer JJ. Multiparametric MRI of the Bladder: Ready for Clinical Routine? American Journal of Roentgenology 2014;202(6):1187-95.
6. Barentsz JO, Jager GJ, van Vierzen PB, et al. Staging urinary bladder cancer after transurethral biopsy: value of fast dynamic contrast enhanced MR imaging. Radiology 1996;201:185-93.
Dịch: HueUNA
- TỔNG QUAN TACROLIMUS, DƯỢC LỰC HỌC VÀ DƯỢC ĐỘNG HỌC CỦA TACROLIMUS - GS NASRULLAH UNDRE
- CME4: TIẾN BỘ TRONG CHĂM SÓC BỆNH NHÂN TIM MẠCH THẬN 2024: CƠ HỘI TỪ NHỮNG BẰNG CHỨNG MỚI - P2
- CME3: TIẾN BỘ TRONG CHĂM SÓC BỆNH NHÂN TIM MẠCH THẬN 2024: CƠ HỘI TỪ NHỮNG BẰNG CHỨNG MỚI - P1
- HƯỚNG DẪN CHẨN ĐOÁN VÀ ĐIỀU TRỊ BÀNG QUANG TĂNG HOẠT
- Khuyến cáo về chẩn đoán và điều trị bệnh thận mạn và một số bệnh lý thận
- Quản lý sử dụng opioid trong giảm đau hậu phẫu
- Ung thư đường niệu trên - GS. Daniel Lee
- Cọng hưởng từ ung thư tuyến tiền liệt
- Báo cáo chuyên đề sau đại học: Bí tiểu cấp
- Ung thư bàng quang - GS. Daniel Lee
















